ALIGNER TREATMENTS

Your orthodontic journey begins with a personal consultation with Dr. Segatto, who takes the time to understand your unique needs through a thorough patient history and a detailed clinical examination. He will assess not only the aesthetics of your smile but also its function — evaluating occlusion, TMJ health, airway and breathing patterns and any habits that may impact treatment. He will alsodetermine the diagnostic records needed for your personalized treatment plan.

At our Center we use cutting-edge tools to plan your treatment with the highest accuracy. We’ll capture high-quality photos, intraoral scans and face scans, use 3D or 2D X-rays and establish a thorough TMJ diagnosis with Modjaw and MRI — as needed. These create a 3D Dental Avatar — a virtual 3D face model — helping us plan your treatment — customized just for you.

In a dedicated in-person session, one of our doctors will present you — or for minors, your guardian — your personalized treatment plan in detail. During this appointment, we present the planned steps, tools, estimated timeline, and the full costs upfront – no hidden fees. This is also your opportunity to ask any questions about the treatment. We’ll walk you through how your teeth will shift step-by-step and even show you a digital preview of your future smile. We will also explain your role in making it a success. Afterward, you’ll receive a digital version of the plan via e-mail.

Your custom-made aligners are ready to start your smile transformation! If needed, we’ll gently bond small attachments or accessory elements to your teeth to enhance precision. Wear your aligners for 20-22 hours daily, and switch to a fresh set every 1-2 weeks as guided. We’ll ensure the perfect fit and confirm your teeth are shifting beautifully on schedule every 6-8 weeks. After your final aligner, we’ll schedule a visit for a thorough exam and intraoral scan to verify your stunning results. If tiny adjustments are needed, we’ll provide extra aligners — the perfect result is our priority!

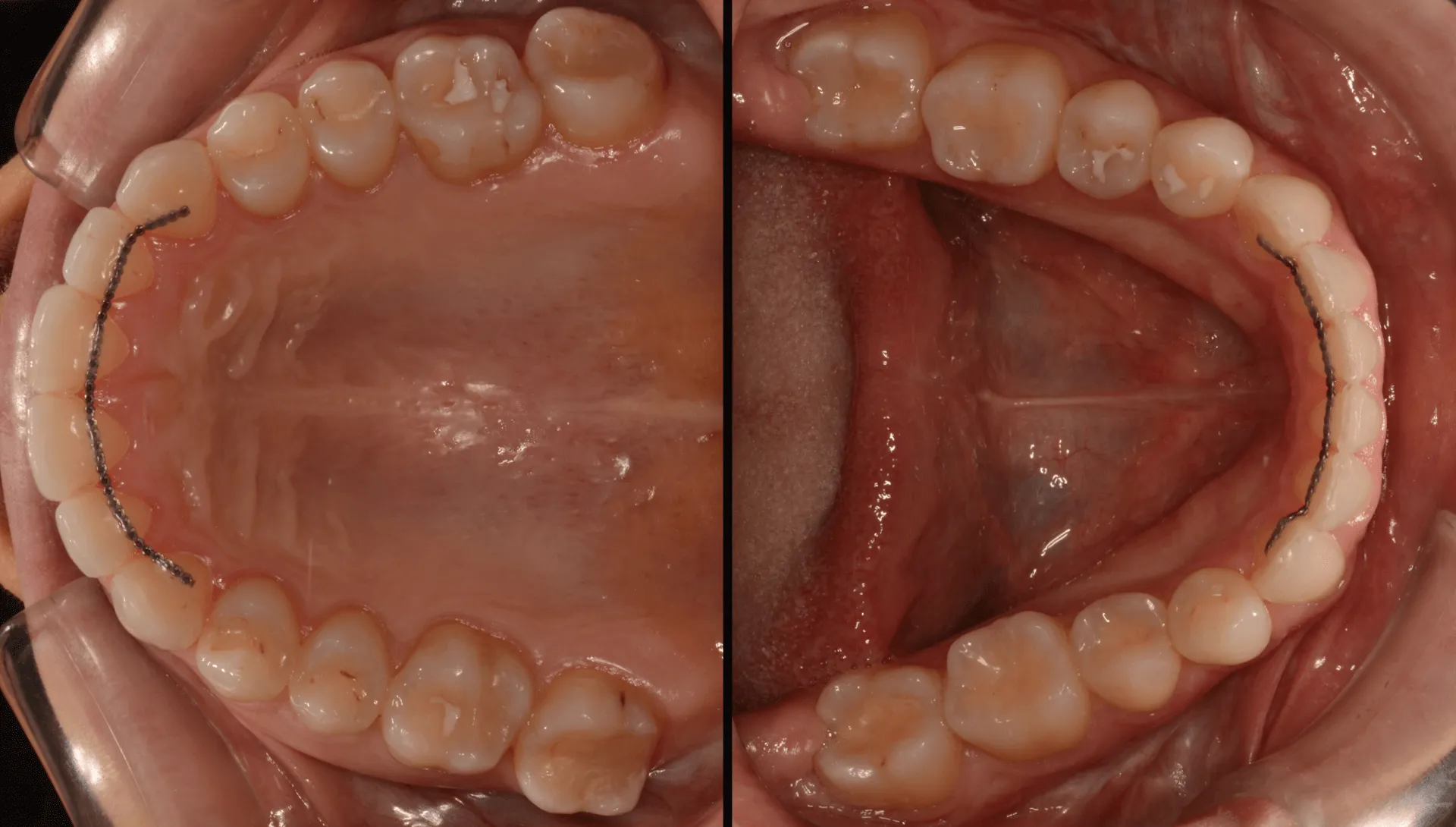
Your smile is an investment and we’re here to protect it — so after removing the attachments and accessory elements – if they were needed – and also polishing your teeth, we’ll provide you retainers: a fixed wire bonded behind your front teeth and a removable splint for nighttime wear. We’ll teach you how to care for them and take final photos and scans to showcase your transformation. We’ll also discuss the checkups to maintain your results long-term.

Schedule a consultation with Dr. Segatto

Med. Habil. Emil Segatto DDS, PhD is one of the best specialists in clinical orthodontics, with special focus on high-level comprehensive orthodontic care, as well as dentofacial aesthetic and functional enhancements, in Hungary

Call (36) 30-2306164 or fill out the form below for a consultation in our clinic

 

    ×