Dent'art Studio
Menu
Dent'art
Studio
Menu
Home
About
Backstage
Philosophy
Cases
Events
Publications
HU
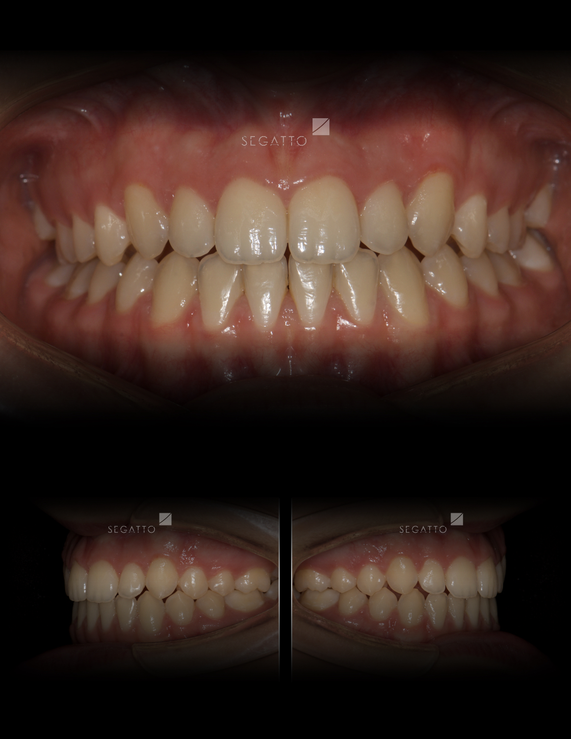
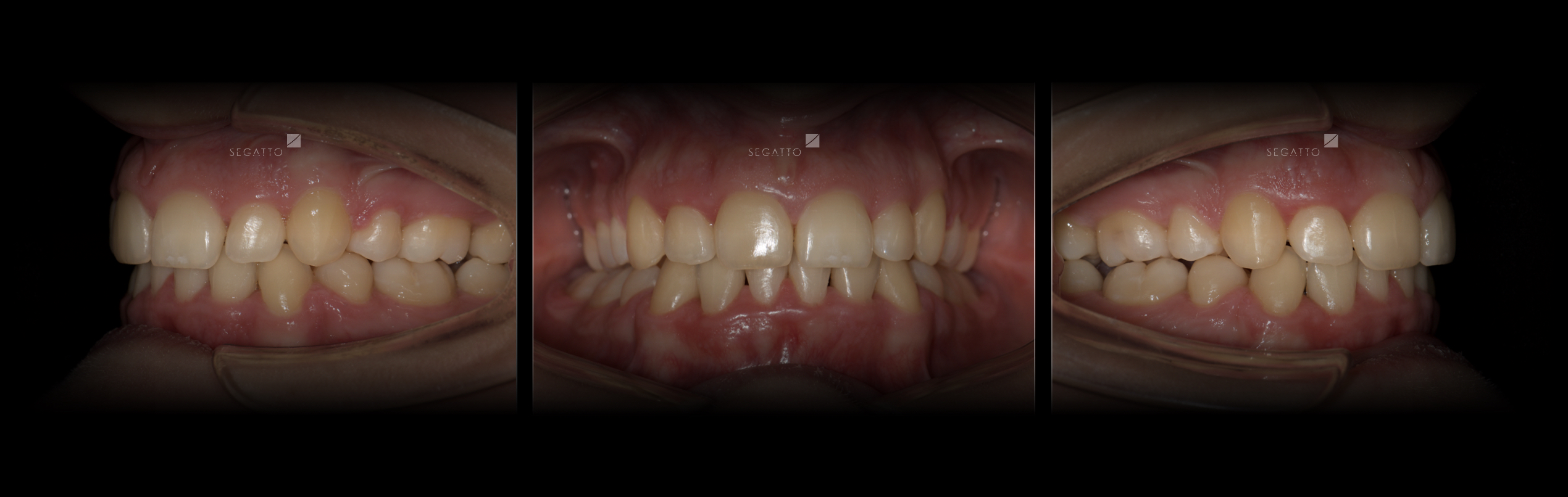
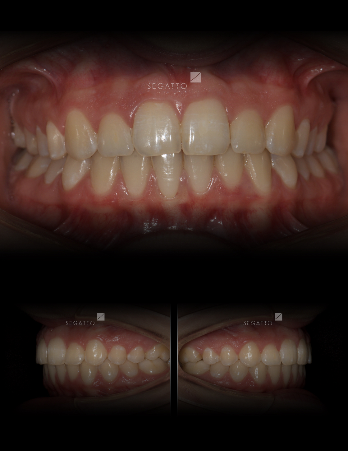
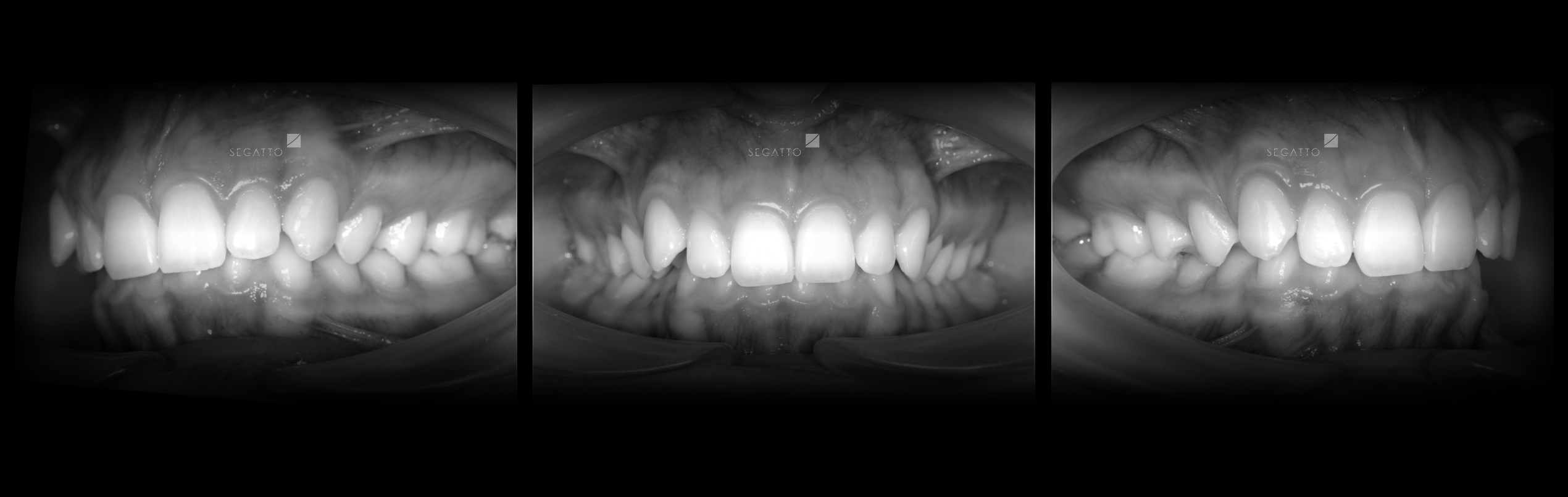
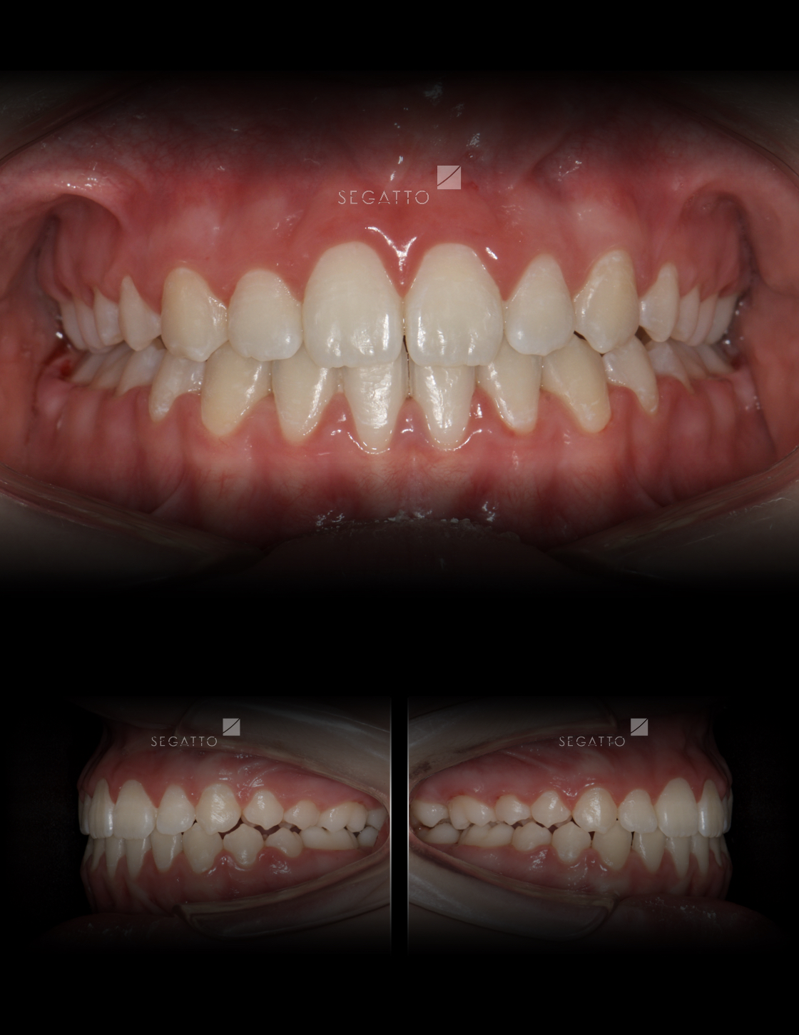
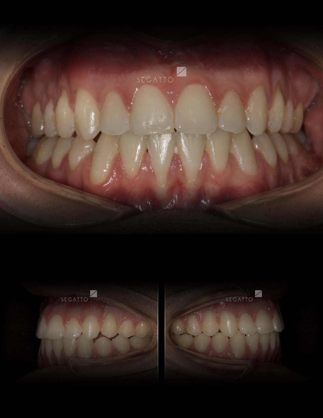
Orthodontics
Cases