Restauratív fogászat

Precizitás, művészet és tökéletesség – kompromisszumok nélkül

Az igazi esztétikai kiválóság a részletekben rejlik. Dr. Segatto Angyalka restauratív fogászat iránti elkötelezettségét a kompromisszum-mentes precizitás, a művészi megközelítés és a tökéletességre való törekvés fémjelzi. Minden restaurációt gondosan megtervez, hogy tökéletes biológiai integrációt, maximális természetességet és nem utolsó sorban hosszú távú tartósságot érjen el – minimál-invazív megközelítéssel.

Indirekt restaurációk

Indirekt héjak (kerámia héjak)

Azok számára, akik a tökéletes természetességet és a hosszútávú esztétikai, valamint funkcionális megoldást keresik mosolyuk helyreállítására, a kerámia héjak egyedi megoldást kínálnak. Gondos odafigyeléssel a részletekre, a héjak speciális kerámiákból készülnek manufakturálisan, amelyek utánozzák a természetes fogak morfológiáját, textúráját és optikai tulajdonságait, biztosítva a hibátlan, tartós végeredményt. Az így készült restaurációban visszaköszön a fogtechnikus és az orvos művészi megközelítése.

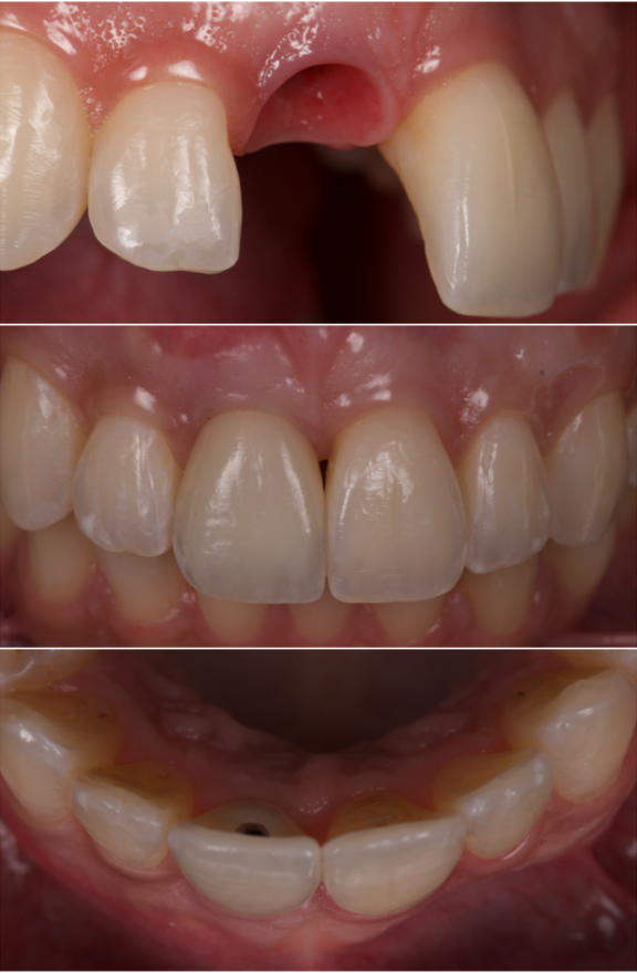
Implantátumon elhorgonyzott protetikai megoldások

A hiányzó fogak pótlásának korszerű megoldását a fogászati implantátumok biztosítják. Ebben a folyamatban a tökéletesség elérése interdiszciplináris megközelítést igényel. Centrumunk implantátumos restaurációi egy szoros együttműködés eredményei a szájsebész, parodontológus, protetikus és fogtechnikus között, biztosítva, hogy minden aspektus – a sebészi behelyezéstől a végső restaurációig – alaposan legyen megtervezve és kivitelezve. Sebészi precizitás: Segatto doktornő tapasztalt sebész- parodontológus kolléga (ák) közreműködésével biztosítja, hogy az implantátum optimális pozicionálással és stabilitással legyen behelyezve.

  • Lágyszövet menedzsment: a parodontológus egészséges, természetes hatású ínyprofilt hoz létre, amelyet a protetikai szakember testreszab, hogy javítsa mind a funkciót, mind az esztétikát.
  • Restauráció művészete: Dr. Segatto Angyalka olyan implantátumos megoldásokat tervez és készít, amely tökéletesen integrálódnak a természetes fogsorba , biztosítva a kompromisszum mentes esztétikát, a hosszú távú stabilitást és funkciót.
  • A legmodernebb technikák, a legmagasabb minőségű anyagok és az interdiszciplináris szemlélet ötvözésével Segatto doktornő olyan implantátumon elhorgonyzott restaurációkat hoz létre, amelyek nem csupán funkcionálisak, hanem igazi „műalkotások” – mert a tökéletesség az egyetlen elfogadható standard.

Direkt restaurációk: A természetesség megformázása precizitással

Direkt héjak (kompozit héjak)

A direkt héjak azonnali átalakulást kínálnak, a legmagasabb minőségű esztétikus fogászati kompozitokból készülnek, hogy javítsák a fogak alakját, színét és szimmetriáját. Dr. Segatto Angyalka korszerű kompozit rétegezési technikákat alkalmazva olyan felszínt hoz létre, amely optimális esztétikát biztosít egyetlen látogatás során.

Esztétikai Tömések

Minden restaurációnak harmonikusan illeszkednie kell a természetes fogmorfológiához. Segatto doktornő esztétikus tömései művészi megközelítéssel, a szakmai szabályok figyelembevételével, gyártói ajánlásokat betartva készülnek, biztosítva, hogy még a legkisebb részletek – mint például a morfológia, árnyalat, áttetszőség és textúra – is gondosan illeszkedjenek egy észrevehetetlen végeredmény érdekében.

Jelentkezzen be Dr. Segatto konzultációjára

Dr. Habil. Segatto Emil, PhD az ország egyik legkiemelkedőbb szakembere a klinikai fogszabályozásban. Kezelési szemléletét meghatározza a korszerű orthodontiai diagnosztikára épülő magas szintű dentofaciális esztétikai és funkcionális rehabilitáció.

Jelentkezhet a (36) 30-2306164 számon, vagy az alábbi űrlap kitöltésével:

 

    ×